Zahnarztpraxis Dr. Heinze

Zahnersatz

Zahnersatz

Die Bandbreite der möglichen Behandlungsmöglichkeiten mit Zahnersatz ist äußerst umfangreich. Diese Aufstellung erhebt keinen Anspruch auf Vollständigkeit. In den letzten siebzehn Jahren entstanden eine Fülle von klinischen Dokumentationen. Neben der reinen Einteilung in festsitzenden bzw. herausnehmbaren Zahnesatz kann der Patient auch verschiedene Materialien auswählen. Die biologischen Eigenschaften der eingesetzten Materialien sind enorm in den Blickpunkt der Patienten gerückt. Die Bilder entstanden im Rahmen durchgeführter Behandlungen in der Praxis.

 

Festsitzender Zahnersatz

Seitenzähne -Metallkeramik

Die „klassische“ Metallkeramik-Krone (VMK = Verblend-Metall-Keramikkrone) besteht aus einer dem Zahn präzise aufgepassten Metallkappe, die aussen vollständig mit zahnfarbener Keramik (= Porzellan) verkleidet ist. Durch das Aufbrennen der Keramik im Ofen entsteht ein extrem starker chemischer Verbund zwischen Metall und Porzellan.

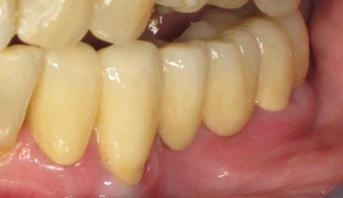
Seitenzähne-Vollkeramik

Heute ist es möglich, völlig metallfreie Keramikkronen und -brücken herzustellen, die den Belastungen des Kaudrucks in jeder Weise gewachsen sind. Es ist auch nicht mehr nötig, für Keramikkronen den Zahn stärker als sonst abzuschleifen. Das Schlüsselwort für diesen Fortschritt heisst Zirkon: Keramikgerüste aus Zirkondioxid (ZrO2), auch Zirkonium genannt, weisen extreme mechanische Festigkeitswerte auf und können mit den härtesten Metallen mithalten.

festsitzende Frontzähne

Vollkeramische Frontzahnkronen zeichnen sich durch ein sehr natürliches Erscheinungsbild und hervorragende Materialeigenschaften aus. Keramiken kommen dem natürlichen Zahn in Lichtdurchlässigkeit und der Härte so nahe wie kein anderes Restaurationsmaterial. Moderne zahntechnische Verfahren ermöglichen eine naturgetreue Nachbildung eines Zahnes sowie einen perfekter Sitz der Krone.

Herausnehmbarer Zahnersatz

Teleskop-Prothese

Für optimalen Komfort, Funktionalität, Halt und Ästhetik empfehlen wir die Teleskopprothese, die beliebig viele Zähne im Kiefer ersetzen kann.

Eine Teleskopprothese besteht aus zwei Teilen: einem festsitzenden und einem herausnehmbaren. Als Pfeiler für die festsitzenden Innenkronen können Implantate oder eigene Zähne dienen, die dafür beschliffen werden müssen. Die eigentliche Prothese besteht aus den sogenannten Außenkronen, die ähnlich einem Puzzle exakt zu den Innenkronen passend gefertigt werden. Beide Teile gleiten wie die Glieder eines Teleskops übereinander und sorgen so für sicheren Halt und Passgenauigkeit – ein Verrutschen beim Kauen und Sprechen ist unmöglich.

Geschiebeprothesen

Eine Geschiebeprothese wird über ein Geschiebe, ein Präzisionsteil welches nach dem Prinzip der Haftreibung funktioniert an den Restzähnen verankert. Diese Zähne werden dazu beschliffen und mit miteinder verblockten Kronen versorgt. Der größte Vorteil der Geschiebeprothesen liegt im Bereich der Ästhetik. Sie sind befestigt an optisch perfekt gestaltbaren, und in der Regel keramikverblendeten Kronen.

Gussklammerprothese

Die einfachste Möglichkeit, die fehlenden Zähne zu ersetzen, ist eine Modellgussprothese, die mit Hilfe von Klammern an den vorhandenen Zähnen befestigt wird. Jedoch können die Klammern unter Umständen den Zahnschmelz gefährden, die Zähne lockern und das Zahnfleisch ständig reizen. Die Ästhetik ist ebenfalls eher als unattraktiv zu beurteilen, eine solche Prothese ist allenfalls als ausreichend und wirtschaftlich zu bezeichnen, weil sie relativ preiswert herzustellen und problemlos zu erweitern ist.

Totalprothesen

Die klassische Möglichkeit zur Versorgung des zahnlosen Oberkiefers ist die Totalprothese. Sie wird ausschließlich von den zahnlosen Kieferkämmen getragen. Sind diese gut ausgebildet, können mit Totalprothesen ausgezeichnete Resultate erzielt werden.Neuer Text

Fall 1:

Sehr gut sitzende Prothesen nach liebevoller und aufwendiger FertigungNeuer Text

Fall 2:

In Zeiten der Implantate haben gut gemachte Totalprothesen auch immer noch ihre BerechtigungNeuer Text

Füllungen

Wurzelkanalbehandlung

Zahnbehandlung Kinder

Zahnreinigung

Sehr geehrte Patientinnen und Patienten ,

in der Zeit vom 20.10.2025 bis zum 25.10.2025 ist die Praxis aufgrund der Herbstferien geschlossen.

In der Zeit vom 20.10.-25.10.2025 vertritt mich der Kollege

Zahnarztpraxis Mohamed Alsafadi
 

Wir bitten um  telefonische Voranmeldung.

Ab dem 27.10.2025 hat die Praxis wieder geöffnet.