Zahnarztpraxis Dr. Heinze

Kiebe (Adhäsiv) Zahnheilkunde

Klebe (Adhäsiv) Zahnheilkunde

Wir bieten Ihnen ein breites Leistungsspektrum an – von der Füllung und Zahnrestauration bis zur Wurzelbehandlung.

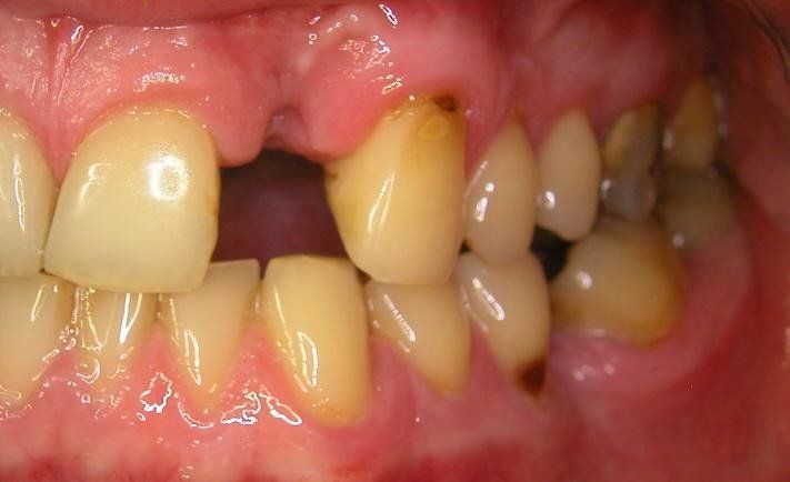
Klebebrücken

Hier kann auf das Abschleifen der Nachbarzähne verzichtet werden. Während für eine konventionelle Krone ca. 40-60% der natürlichen Zahnkronensubstanz abgetragen werden müssen, sind dies bei einem Klebeanker nur ca. 10%.

Zahnecken

Adhäsive Zahnheilkunde ist für mich vor allem minimal-invasive Zahnheilkunde.

Zähne mit geringer Zahnrestsubstanz

Muss es wirklich schon eine Krone sein? Warum muss das letzte Stück Zahn dann auch noch weggeschliffen werden?

Füllungen

Wurzelkanalbehandlung

Zahnbehandlung Kinder

Zahnreinigung

Sehr geehrte Patientinnen und Patienten ,

in der Zeit vom 20.10.2025 bis zum 25.10.2025 ist die Praxis aufgrund der Herbstferien geschlossen.

In der Zeit vom 20.10.-25.10.2025 vertritt mich der Kollege

Zahnarztpraxis Mohamed Alsafadi
 

Wir bitten um  telefonische Voranmeldung.

Ab dem 27.10.2025 hat die Praxis wieder geöffnet.