Zahnarztpraxis Dr. Heinze

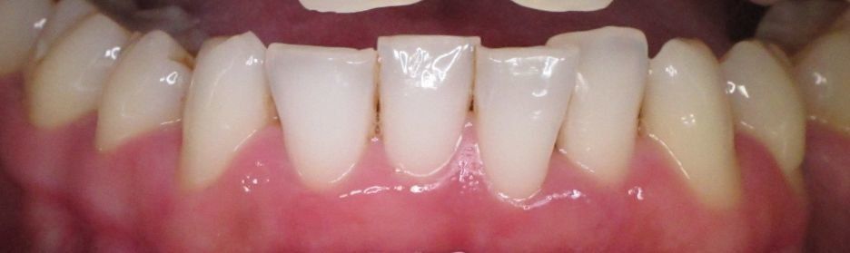
Zahnfleisch

Zahnfleisch

Zahnverlust durch lockere Zähne ist eine Komplikation die wir verhindern wollen. Gerade Parodontitiserkrankungen werden meist erst in einem sehr späten Stadium erkannt, da sie lange unbemerkt und schmerzfrei verlaufen.

Auslöser ist nicht zwangsläufig nur eine schlechte Mundhygiene. Risikofaktoren bestehen auch in Stress-Situationen, Rauchen, Allgemeinerkrankungen oder verschiedenen Medikamenten. Auch eine genetische Disposition kann der Auslöser für eine Parodontitis-Erkrankung sein.

Nach der Diagnose „Parodontitis“ ist unser vorrangiges Ziel, die Entzündungsfreiheit wieder herzustellen.

Vor und nach der Behandlung

Vorteil

Die natürlichen Zähne können langfristig geschützt werden

Vorteil

Zahnfleischbluten und Zahnfleischentzündungen werden beseitigt

Vorteil

Ästhetisch anspruchsvolles und gesundes Zahnfleisch

Füllungen

Wurzelkanalbehandlung

Zahnbehandlung Kinder

Zahnreinigung

Sehr geehrte Patientinnen und Patienten ,

in der Zeit vom 20.10.2025 bis zum 25.10.2025 ist die Praxis aufgrund der Herbstferien geschlossen.

In der Zeit vom 20.10.-25.10.2025 vertritt mich der Kollege

Zahnarztpraxis Mohamed Alsafadi
 

Wir bitten um  telefonische Voranmeldung.

Ab dem 27.10.2025 hat die Praxis wieder geöffnet.

Sehr geehrte Patientinnen und Patienten ,

in der Zeit vom 6.2.-13.2.2026 ist die Praxis aufgrund der Winterferien geschlossen.

In der Zeit vom 6.2.-13.2.2026 vertritt mich der Kollege

Zahnarztpraxis

Dr. Benjamin Gelißen

Wir bitten um  telefonische Voranmeldung.

Ab dem 16.2.2026 hat diePraxis wieder geöffnet.